无假日医院丨当血透遭遇内瘘堵塞 介入手术畅通宝贵“生命线”
发布时间:2022.05.26 00:00:00
4月29日,长沙市第三医院肾病内科团队成功为一例内瘘血管头静脉血栓形成伴狭窄的患者施行经皮腔内球囊扩张血管成形术(PTA),顺利疏通堵塞的内瘘血管,患者在术后即刻恢复透析治疗。
长沙69岁的胡爹爹患有尿毒症,一年以来一直规律接受血液透析治疗。
4月28日,胡爹爹如期来到长沙市第三医院血液净化中心做透析。可上机前,医生发现老人内瘘血管震颤消失;进一步行超声检查评估,显示老人左上肢内瘘血管头静脉血栓形成伴狭窄。
内瘘血管堵了,胡爹爹无法进行透析治疗!
自体动静脉内瘘是尿毒症血透患者首选的透析通路,是他们的“生命线”,但是在长期使用过程中会出现狭窄、血栓形成等并发症。
一旦内瘘血管狭窄、堵塞,正常的体外循环难以维持,毒素就会在体内积聚,对身体危害极大。
如何才能为胡爹爹保住宝贵的血透“生命线”呢?
肾病内科进行全科讨论后,决定为老人实施彩色多普勒超声引导下经皮腔内球囊扩张血管成形术(PTA),通过介入微创手术为胡爹爹打通堵塞的血管。
在做好充分的术前评估和准备后,4月29日,肾病内科副主任谭轶湘、向慧带领团队,与麻醉科、超声诊断科、手术部等多学科协作,通过皮肤穿刺血管,置入血管鞘,在超声实时引导下将导丝导管通过狭窄病变,对血管的狭窄部位进行扩张,使狭窄部位矫正至正常的血管管径。
手术非常顺利。术后超声评估血管通畅,血流量充沛,完全满足透析要求!
▲术前,超声下显示内瘘口血栓形成
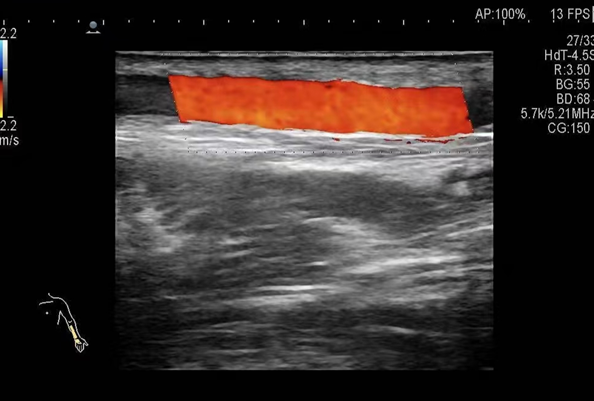
▲术后,血管开通,血流恢复
血管通路是终末期肾脏病、维持性血液透析患者的“生命线”,而自体血管动静脉内瘘(AVF)是患者使用时间最长、并发症最少、护理费用最低的血管通路。
谭轶湘表示,超声引导下内瘘血管球囊扩张术(PTA)具有创伤小、较好地保持血管的解剖完整性、延长已有通路使用寿命、可反复进行等优点,术后患者可以马上进行透析治疗,避免了通过中心静脉插管作为过渡。
PTA手术的成功,标志着长沙市第三医院肾病内科在血透患者血管通路的建立和维护上又迈向了一个新的台阶,开创了介入治疗动静脉内瘘狭窄、血栓及闭塞的新篇章,将为更多血透通路功能不良的患者带来新希望。
无假日医院小贴士:
长沙市第三医院肾病内科及血液净化中心在节假日期间,开展血液透析、连续性肾脏替代治疗(CRRT)、腹膜透析、结肠透析等常规治疗,急诊动静脉内瘘球囊扩张术、临时置管等手术操作以及入院及出院办理、24小时免费咨询等服务。
长沙69岁的胡爹爹患有尿毒症,一年以来一直规律接受血液透析治疗。
4月28日,胡爹爹如期来到长沙市第三医院血液净化中心做透析。可上机前,医生发现老人内瘘血管震颤消失;进一步行超声检查评估,显示老人左上肢内瘘血管头静脉血栓形成伴狭窄。
内瘘血管堵了,胡爹爹无法进行透析治疗!
自体动静脉内瘘是尿毒症血透患者首选的透析通路,是他们的“生命线”,但是在长期使用过程中会出现狭窄、血栓形成等并发症。
一旦内瘘血管狭窄、堵塞,正常的体外循环难以维持,毒素就会在体内积聚,对身体危害极大。
如何才能为胡爹爹保住宝贵的血透“生命线”呢?
肾病内科进行全科讨论后,决定为老人实施彩色多普勒超声引导下经皮腔内球囊扩张血管成形术(PTA),通过介入微创手术为胡爹爹打通堵塞的血管。

手术非常顺利。术后超声评估血管通畅,血流量充沛,完全满足透析要求!

▲术前,超声下显示内瘘口血栓形成

▲术后,血管开通,血流恢复
血管通路是终末期肾脏病、维持性血液透析患者的“生命线”,而自体血管动静脉内瘘(AVF)是患者使用时间最长、并发症最少、护理费用最低的血管通路。
谭轶湘表示,超声引导下内瘘血管球囊扩张术(PTA)具有创伤小、较好地保持血管的解剖完整性、延长已有通路使用寿命、可反复进行等优点,术后患者可以马上进行透析治疗,避免了通过中心静脉插管作为过渡。
PTA手术的成功,标志着长沙市第三医院肾病内科在血透患者血管通路的建立和维护上又迈向了一个新的台阶,开创了介入治疗动静脉内瘘狭窄、血栓及闭塞的新篇章,将为更多血透通路功能不良的患者带来新希望。
无假日医院小贴士:
长沙市第三医院肾病内科及血液净化中心在节假日期间,开展血液透析、连续性肾脏替代治疗(CRRT)、腹膜透析、结肠透析等常规治疗,急诊动静脉内瘘球囊扩张术、临时置管等手术操作以及入院及出院办理、24小时免费咨询等服务。