首页 交流平台 医患互动 详细

交流平台

三医故事我来讲·患者心声丨我终于能毫无顾忌地、自信大方地笑出来了

发布时间:2025.08.29 14:36:04

 

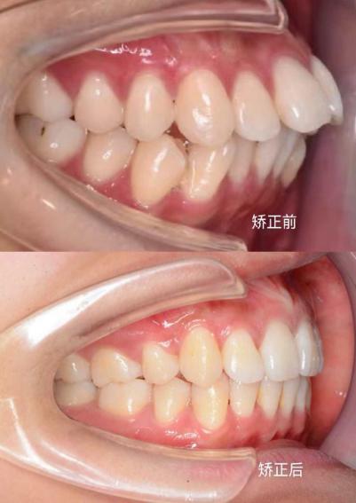
“这么多年了,我终于能毫无顾忌地、自信大方地笑出来了,我觉得自己仿佛脱胎换骨一般!”8月21日上午,在长沙市第三医院(湖南大学附属长沙医院)口腔科卸下矫正器,重获整齐牙齿、协调面容的小如(化名)笑得像花儿一样灿烂,与一年前怯懦自卑的样子判若两人。

从小到大,小如都因牙口问题非常自卑。自小患有鼻炎,长期口呼吸的她有着典型的腺样体面容:上颌前突、牙齿拥挤、自然状态下双唇难以闭合……久而久之,笑容成了这位妙龄少女的负担。眼看毕业实习在即,小如迫切希望能改变这种现状,让自己能以更佳的状态进入职场。

 

口腔科副主任(主持工作)曾婷艳解释,儿童期是颌面部发育的关键窗口。长期口呼吸会打破口腔内正常肌肉压力平衡,舌头长期处于低位,无法有效支撑上颚,上颌骨易发育不足变窄;同时,颊肌持续的内向压力又可能抑制下颌骨的正常生长。这种失衡力量日积月累,最终会导致“腺样体面容”特征——开唇露齿、牙弓狭窄、牙齿排列拥挤不齐、上前牙前突(嘴突),而小如的情况正是这一病理过程的典型体现。

精准干预:量身定制的正畸方案

面对小如复杂的口腔状况和强烈的改变愿望,曾婷艳带领口腔科团队为她制定了系统性的综合正畸治疗方案:联合耳鼻咽喉头颈外科积极治疗鼻炎,同时指导小如进行专业的“唇肌功能训练”,从源头纠正口呼吸习惯,重建正常的鼻呼吸模式;采取固定矫治器(牙套)+数字化导板引导支抗钉植入术,精确移动牙齿,以获取足够间隙,为内收明显前突的前牙创造条件,改善面型突度;与此同时,精细调整上下牙齿的咬合关系,确保美观的同时还要健康和稳定。

 

蜕变新生:从“捂嘴笑”到自信绽放

整个治疗过程中,曾婷艳专业细致的诊疗和温暖鼓励的态度,让原本紧张的小如逐渐放松,医患之间也建立了深厚的信任,成了朋友。

当矫治器最终卸下,小如看着镜中自己整齐的牙齿、协调的面容和终于能自然闭合的双唇激动不已,这才出现文章开头的那一幕。

 

敲黑板:儿童口呼吸,早发现早干预是关键

“儿童期不良呼吸习惯对颜面发育有着深远影响。口呼吸问题隐蔽性强,危害却贯穿发育全程。家长务必提高警惕。”曾婷艳提醒说,若孩子长期张着嘴睡觉、频繁打鼾、反复鼻炎、上唇短厚外翻、上门牙明显突出、牙列拥挤、黑眼圈重、注意力不集中,应高度怀疑口呼吸。

黄金干预期在儿童替牙期(约6-12岁)。此时颌骨可塑性强,及时纠正呼吸方式,辅以必要的早期矫治(如扩弓、功能矫治器等),能有效引导颌骨正常发育,避免或大大减轻成年后的面部畸形和牙齿问题,可达到事半功倍的效果。

 

让呼吸回归正确轨道,让笑容绽放应有光彩!

 

 

咨询预约电话:0731-85172306

温馨提示:具体诊疗方案需经专业医生面诊评估后制定。

 

 

 

供稿:口腔科 陈彦

 

扫一扫,手机端浏览